NHA KHOA LẠC VIỆT – TRỒNG RĂNG IMPLANT CÔNG NGHỆ CAO
Thư Ngỏ Nha Khoa Lạc Việt
- Chào mừng bạn đến với Nha Khoa Lạc Việt – hệ thống nha khoa tại Việt Nam chuyên sâu về trồng răng implant. Với sứ mệnh mang đến nụ cười hoàn hảo, tự nhiên và khỏe mạnh, chúng tôi tự hào là địa chỉ tin cậy cho dịch vụ trồng răng implant chất lượng cao. Là một trong những phòng khám nha khoa uy tín tại Hà Nội và các tỉnh lân cận, Nha Khoa Lạc Việt tập trung vào công nghệ hiện đại và trải nghiệm bệnh nhân, đảm bảo kết quả tối ưu. Nếu bạn tìm kiếm “nha khoa lạc việt intech” hoặc “trồng răng implant lạc việt” trên Google, đây chính là nơi cung cấp giải pháp trồng răng tiên tiến nhất.
- Nha Khoa Lạc Việt được thành lập nhằm trở thành trung tâm chuyên sâu về phục hình răng miệng, với hơn nhiều năm kinh nghiệm (từ 2007). Chúng tôi sở hữu 07 cơ sở tại Hà Nội, Hồ Chí Minh và các khu vực khác, mang đến sự tiện lợi. Nha Khoa Lạc Việt áp dụng công nghệ Quốc tế và giải pháp trồng răng DCT để giải quyết vấn đề mất răng, với các từ khóa như “nha khoa lạc việt hà nội” hay “trồng răng implant lạc việt” dẫn dắt khách hàng đến với chúng tôi nhờ uy tín từ hàng loạt ca thành công.
- Điểm nổi bật của Nha Khoa Lạc Việt là dịch vụ trồng răng implant đa dạng. Chúng tôi chuyên trồng răng implant – cấy trụ titanium vào xương hàm với giải pháp trồng răng DCT, giúp nhanh chóng lấy lại nụ cười tự nhiên, an toàn, không đau. Ngoài ra, còn có cấy chân răng sinh học, bọc răng sứ, tẩy trắng răng và chăm sóc tổng quát. Tất cả sử dụng thiết bị nhập khẩu từ châu Âu và Mỹ, đảm bảo vô trùng theo Bộ Y tế. Nếu tìm “trồng răng implant giá rẻ hà nội”, “trồng răng implant giá rẻ hồ chí minh” hoặc “nha khoa lạc việt trồng răng”, chúng tôi cam kết giá cạnh tranh với ưu đãi hấp dẫn.
- Đội ngũ bác sĩ tại Nha Khoa Lạc Việt quy tụ chuyên gia hàng đầu, với chứng chỉ công nhận từ Bộ Y tế. Như Bác sĩ Nguyễn Hoàng Dương (chứng chỉ 170008/VĐTRHM-IPL), Bác sĩ Phan Tiến Hoài (012443/NA-CCHN), Bác sĩ Mai Minh Vương (tốt nghiệp Đại học Y Dược Hải Phòng), cùng các bác sĩ Hoàng Vũ Hiệp, Nguyễn Văn Luyến, Nguyễn Gia Bảo với kinh nghiệm dày dặn trong hàng ngàn ca trồng răng implant. Họ tận tâm, tư vấn miễn phí và cập nhật kỹ thuật quốc tế.
- Cơ sở vật chất hiện đại với máy X-quang 3D, phòng phẫu thuật vô trùng, tạo môi trường thoải mái. Nha Khoa Lạc Việt sở hữu kênh YouTube chia sẻ kiến thức trồng răng, và nhận giải Top 10 Sao Vàng Thương Hiệu Việt Nam 2020, xuất hiện trên VTV2 về trồng răng implant cho người cao tuổi.
- Sứ mệnh của Nha Khoa Lạc Việt là mang nụ cười Việt Nam vươn tầm thế giới, với vật liệu chính hãng, bảo hành lên đến trọn đời cho trồng răng implant, thanh toán linh hoạt. Hàng ngàn khách hàng hài lòng, như chị Lan: “Sau trồng răng implant tại Nha Khoa Lạc Việt, tôi tự tin hơn hẳn.”
- Liên hệ Nha Khoa Lạc Việt qua hotline 0918.818.726 hoặc 0971.066.726 để tư vấn miễn phí về trồng răng. Đặt lịch ngay để sở hữu nụ cười rạng rỡ! Nha Khoa Lạc Việt – Chất lượng điều trị là trên hết.
BẢNG GIÁ TRỒNG RĂNG IMPLANT NHA KHOA LẠC VIỆT
DỊCH VỤ TRỒNG RĂNG IMPLANT NHA KHOA LẠC VIỆT
TRỒNG RĂNG IMPLANT
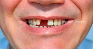
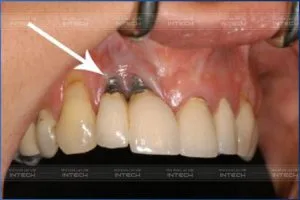
Trồng răng răng implant vĩnh viễn không mài răng gốc,an toàn,thẩm mỹ hoàn hảo, ăn nhai như răng thật.
CẤY CHÂN RĂNG SINH HỌC
Giải pháp tái sinh răng bằng cách cấy chân răng nhân tạo vào vị trí chân răng cũ: nhanh chóng, bền vững, thẩm mỹ, an toàn.
TRỒNG RĂNG IMLANT 24H
Trồng răng 24h tức thì là kĩ thuật cấy ghép implant mới, đặt trụ implant vào xương hàm thay thế chân răng mất trong 24h.
TRỒNG RĂNG TOÀN HÀM
Trồng răng implant toàn hàm là quá trình sử dụng 4 hoặc 6 trụ implant để thay thế chân răng trên hàm bị mất
































